Epithelium, or epithelial tissue, is one of the four basic tissues organizing the human body. It is derived from three embryonic layers, ectoderm, mesoderm, and endoderm. The epithelium is composed of closely packed, contiguous cells, with very little or no intercellular material in the extracellular spaces. It either forms membrane as sheets covering the body surface, lining its internal surface, or making duct wall of all vessels and ducts. They can be classified in terms of four organizational aspects: 1) layer of epithelial cells; 2) shape of epithelial cells; 3) keratinization of epithelial cells; 4) the presence of surface modification of epithelial cells.
Simple Squamous Epithelium
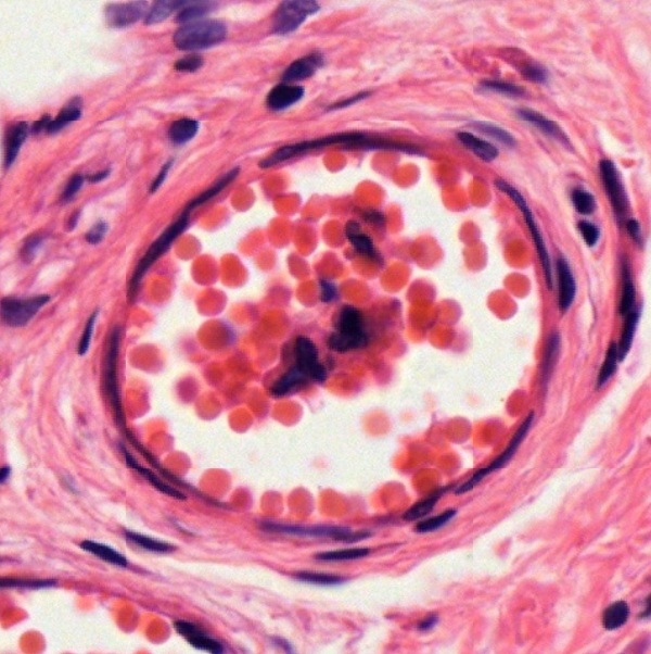
Simple squamous epithelium is a single layer of flattened, scale-like cells that lines surface where rapid diffusion or filtration is needed. It’s found in places like the lining of blood vessels, the body cavities, and the air sacs of the lungs. They have different names in each place, endothelium lining the blood vessels (Figs. 2-1 and 2-2), mesothelium paving the body cavities (Fig. 2-3), and alveoli covering the air sacs of the lungs (Fig. 2-4)
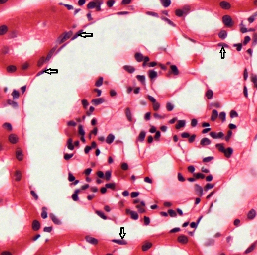
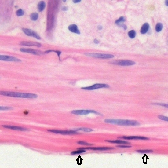
Simple squamous epithelium is also involved in formation of endocardium of heart (Fig. 2-5), Bowman’s capsule of kidney (Fig. 2-6), and adventitial lining of gastrointestinal tract (Figs. 2-7).
Simple Cuboidal Epithelium
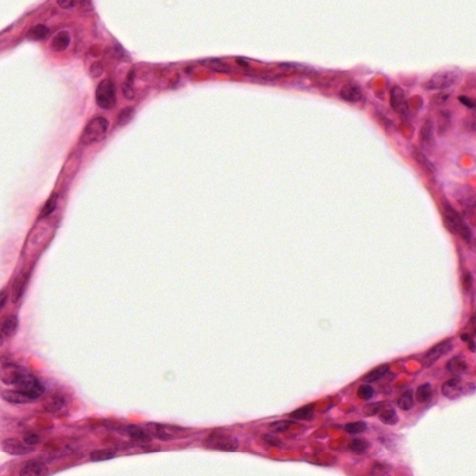
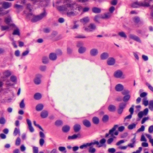
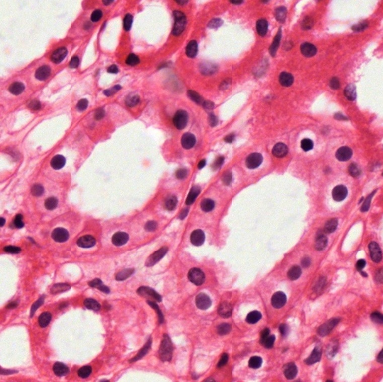
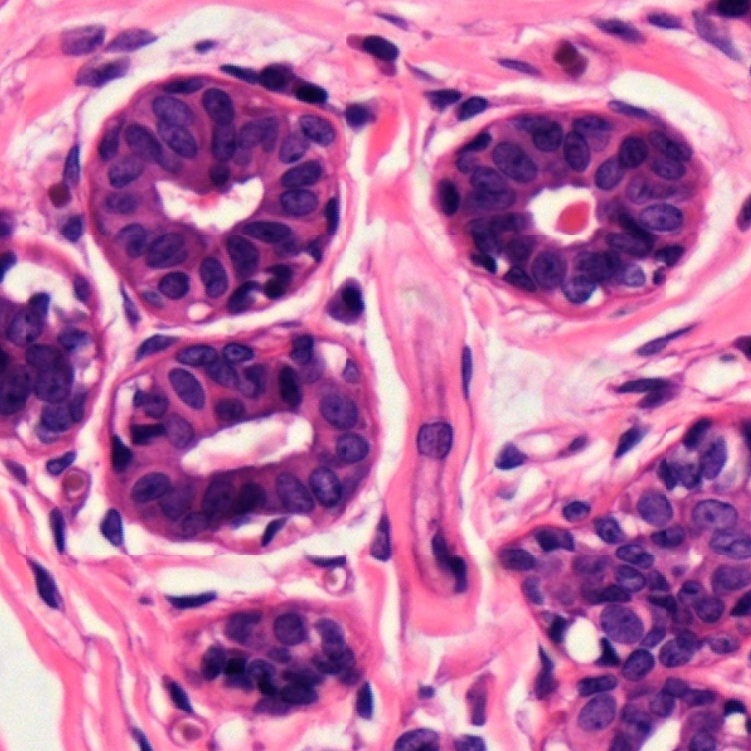
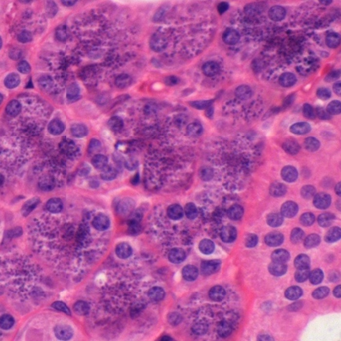
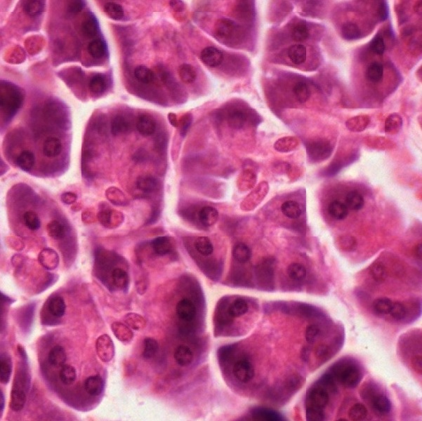
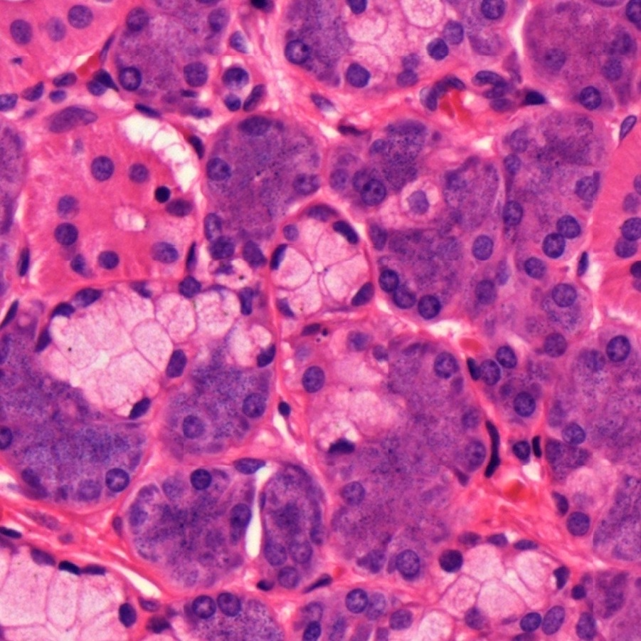
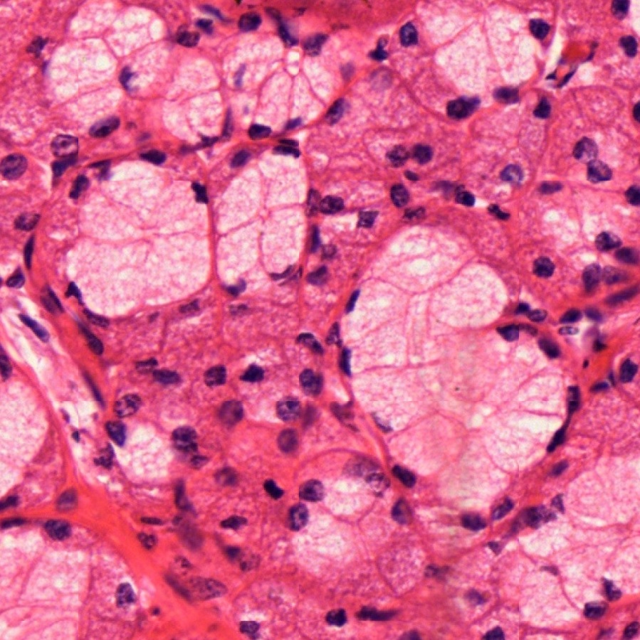
The epithelial cells are actually polygonal in shape with centrally located cell nuclei. In section perpendicular to the basement membrane, the epithelial cells appear square. Simple cuboidal epithelium is found to line secretory ducts of parotid gland (Fig. 2-8), submandibular gland (Fig. 2-9), sublingual gland (Fig. 2-10), and pancreas (Fig. 2-11). It also lines the small collecting tubules in the kidney (Fig. 2-12), the surface of ovaries (Fig. 2-13), corneal endothelium (arrow) of the eye (Fig. 2-14), and thyroid follicles (Fig. 2-15).
Simple Columnar Epithelium
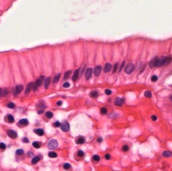
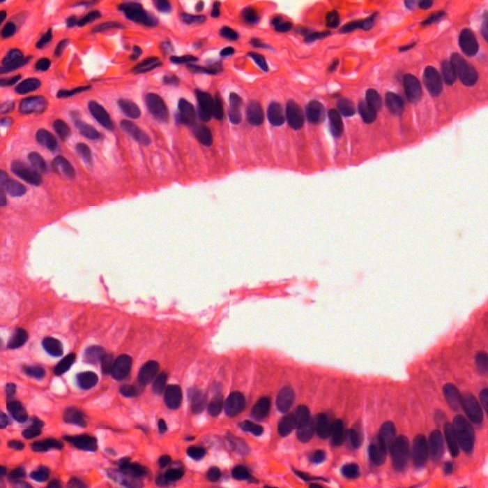
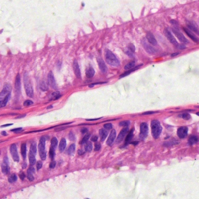
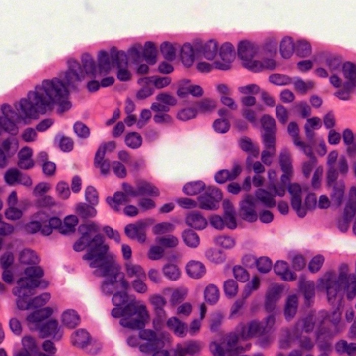
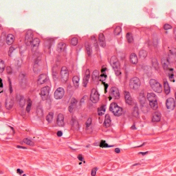
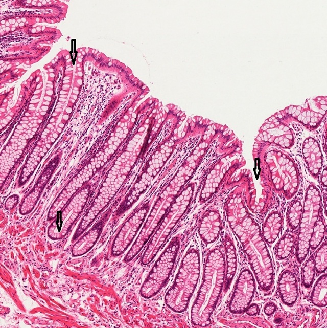
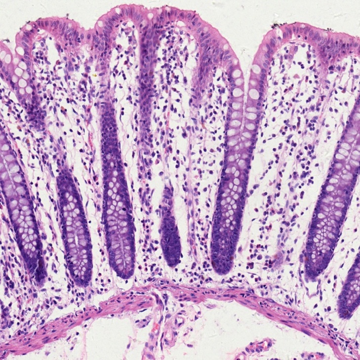
It is similar to simple cuboidal epithelium except that cells are taller and columnar in shape at right angles to the basement membrane. The typical example is the epithelium lining the entire intestinal villi (Fig. 2-16). Each intestinal epithelial cell has numerous, tiny, finger-like projections called microvilli (arrow), which are arranged in such a way to form the appearance of a striated border or brush border (arrow) observable under the light microscope. In addition to the intestines, similar columnar epithelial cells with microvilli are also found to line the mucosa of stomach (Fig. 2-17), gallbladder (Fig. 2-18), and uterus (Fig. 2-19).
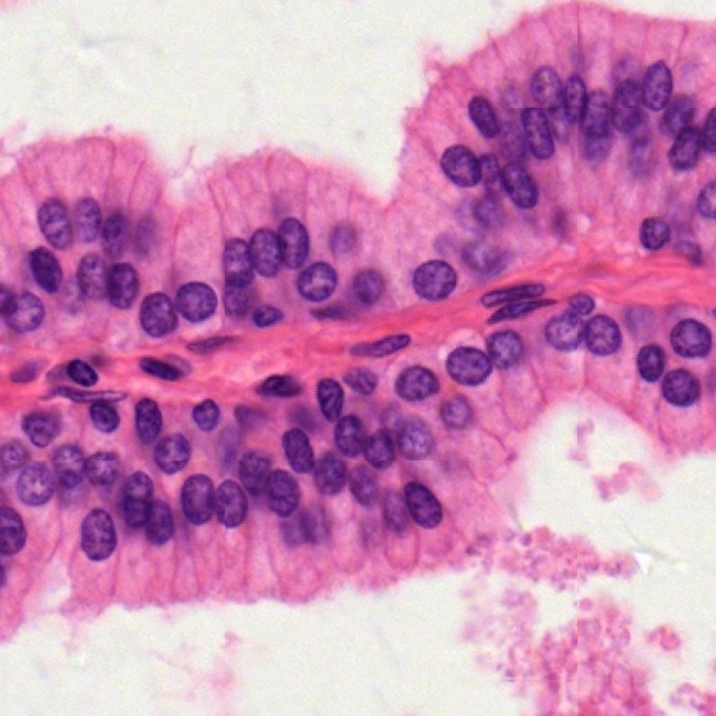
Simple Columnar Ciliated Epithelium
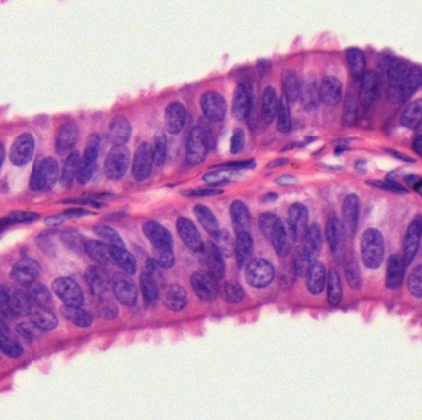
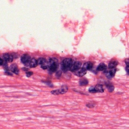
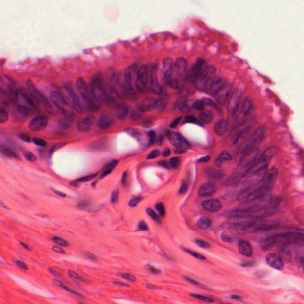
This type of epithelium is different from the simple columnar epithelium described above by the presence of surface specializations called cilia. While microvilli are pure cytoplasmic projections, the cilia are much longer than microvilli and a motile specialization of the cytoskeleton inside the cytoplasmic projections. Simple columnar ciliated epithelium is not common in human except in the oviduct or called Fallopian tube (Fig. 2-20). With cilia the epithelium lines the lumen of the oviduct, aiding in the movement of ova from the ovary to the uterine cavity. Other places where simple columnar ciliated epithelium is found are the fimbria (Fig. 2-21), and the central canal of the spinal cord (Fig. 2-22). There is another form of cellular projections, stereocilia, containing actin but no microtubules inside each stereocilium. They are found on the surface of hair cells (arrow) of the spiral organ of Corti (Fig. 2-23) or the crista ampullaris. Detailed structures will be discussed in related chapters later on.
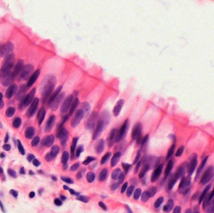
Pseudostratified Columnar Ciliated Epithelium
It is a variant of the simple columnar epithelium due to the appearance of this epithelium in section which conveys the erroneous impression that there is more than one layer of cells. Actually, this is a true simple epithelium due to the fact that all epithelial cells rest on the basement membrane. It is mainly found in the nasal passage of the upper respiratory tract, like trachea (Fig. 2-25) and bronchi (Fig. 2-24) of the lower respiratory tract. Cilia are characteristic features of this respiratory epithelium, then it is called pseudostratified columnar ciliated epithelium. In other organs such as prostate (Fig. 2-26) and epididymis (Fig. 2-27) non-ciliated pseudostratified columnar epithelium can also be found. The cellular projections from cell surface are not cilia but stereocilia.
Stratified Squamous Epithelium
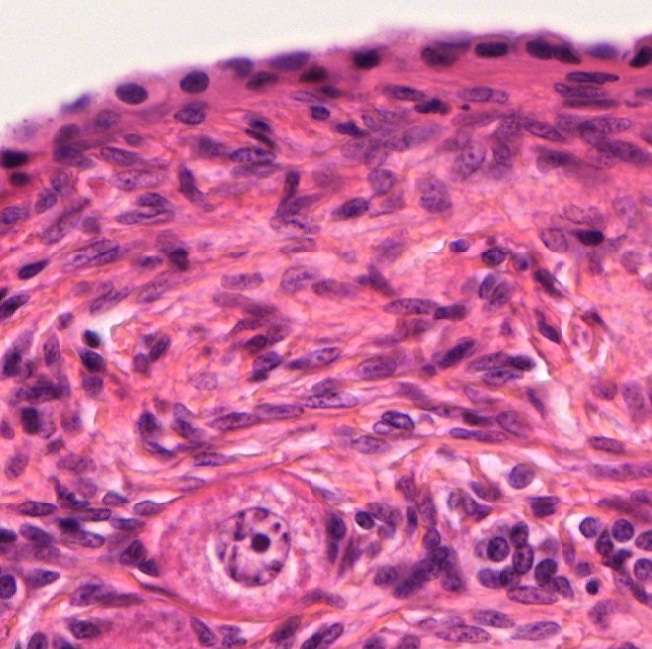
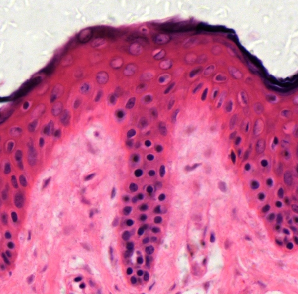
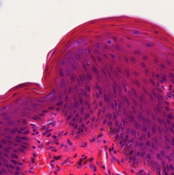
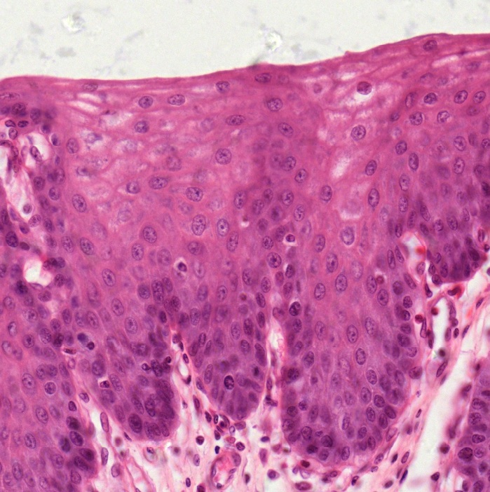
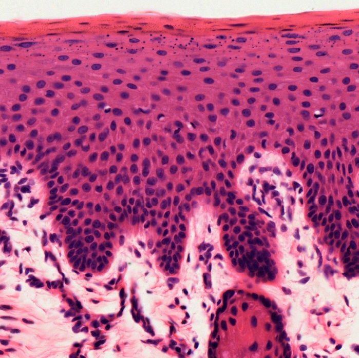
Stratified squamous epithelium consists of variable cell layers showing transition from cuboidal basal layer to flattened surface layer. It’s found in areas of the body being worn and tore, like the skin (Fig. 2-28), mouth (Fig. 2-29),esophagus (Fig. 2-30), and anal canal where the surface epithelium is transformed from simple columnar to stratified squamous (Fig. 2-31). The multiple layers of cells act as a barrier, providing a robust defense against abrasion and damage.
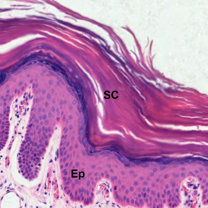
In skin, the surface layer of epithelial cells is adapted to bear to withstand constant abrasion and desiccation. The surface epithelial cells accumulate keratin granules through a process called keratinization, resulting in the formation of non-living, cornified layer called stratum corneum (SC) on the top of epidermis (Ep). Then this epithelium is keratinized squamous epithelium (Figs. 2-32 and 2-33). In the oral cavity, hard plate (Fig. 2-34) and soft plate (Fig. 2-35) usually are covered by non-keratinized squamous epithelium. Occasionally, keratinized squamous epithelium can be observed on the hard plate due to being exposed to excessive abrasion or desiccation.
Stratified Cuboidal Epithelium
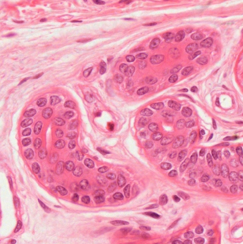
Stratified cuboidal epithelium is a protective epithelial tissue usually consisting of two or more layers of cuboidal or low columnar cells. It is relatively uncommon but found lining the larger ducts of sweat glands (Fig. 2-36), salivary glands (Fig. 2-37), and mammary glands (Fig. 2-38), as well as penile part of the male urethra (Fig. 2-39). Its primary function is protection, providing a strong barrier against mechanical and chemical damage in these passageways.
Stratified Columnar Epithelium
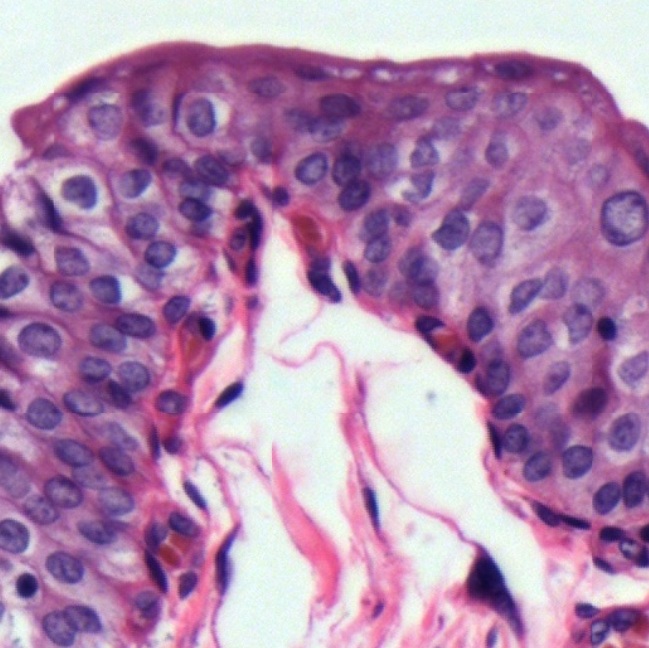
Stratified columnar epithelium is a rare epithelial tissue characterized by a surface layer of tall, column-shaped cells and one or more underlying layers of smaller cells. (Note: In some histology textbooks, this type of epithelium is classified as stratified cuboidal epithelium.) It functions in protection and, to a lesser extent, secretion, and is found in relatively few locations in the body, such as prostate part of the male urethra (Fig. 2-40), conjunctiva of the eye (Fig. 2-41), ductus deferens (Fig. 2-42), and parotid duct (Fig. 2-43).
Transitional Epithelium
Transitional epithelium, also known as urothelium, is a type of stratified epithelium found in the urinary organs, from renal pelvis (Fig. 2-44), ureter (Fig. 2-45), to urinary bladder (Figs. 2-46 and 2-47). It’s unique because it can change shape, flattening out when stretched and returning to a more cuboidal shape when relaxed, allowing the bladder to expand and contract as needed. In the relaxed (contracted) state (Fig. 2-46), transitional epithelium has 4-5 cell layers containing cuboidal basal cells, polygonal intermediate cells, and large round surface cells. In the stretched state (Fig. 2-47), transitional epithelium appears to have 2-3 cells layers with extremely flattened intermediate and surface cells.
Glands
All glands in human body are also derived from three embryonic layers, ectoderm, mesoderm, and endoderm. They are specialized structures formed from epithelial tissue and are also known as epithelial glands. These glands are classified as either exocrine or endocrine, depending on whether they release their secretions through ducts or directly into the bloodstream, respectively.
Exocrine Glands
Among exocrine glands, goblet cells (G) are the only unicellular exocrine glands. Many goblet cells can be found interspersed within simple columnar (Fig. 2-48) and pseudostratified columnar (Fig. 2-49) epithelia. Other exocrine glands can be broadly divided into simple and compound glands.
Most of exocrine glands are multicellular ones. They can be classified into simple and compound glands.
Simple glands are defined as those with a single, unbranched duct. They are further classified into five types depending on if their secretory portions are tubular or acinar and if they are coiled and/or branched:
Simple tubular glands
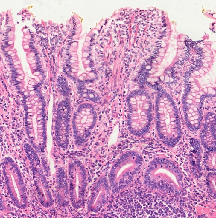
Examples of simple tubular glands can be found to be intestinal glands located in both small intestine (Fig. 2-50) and large intestine (Fig. 2-51), composed primarily of goblet cells and absorptive cells. The secretory products are discharged into a single, straight tubular lumen (arrow).
Simple coiled tubular glands
Sweat glands in skin are almost the only example of simple coiled tubular glands (Fig. 2-52). Each consists of a single tube (arrow) tightly coiled in three dimensions. Its secretory portion is lined by simple cuboidal epithelium while the duct portion is lined by stratified cuboidal epithelium.
Simple branched tubular glands
They are mainly found in the gastric mucosa of pylorus (Fig. 2-53). Each gland consists of several tubular secretory portions (G) which merge into a single unbranched duct (arrow).
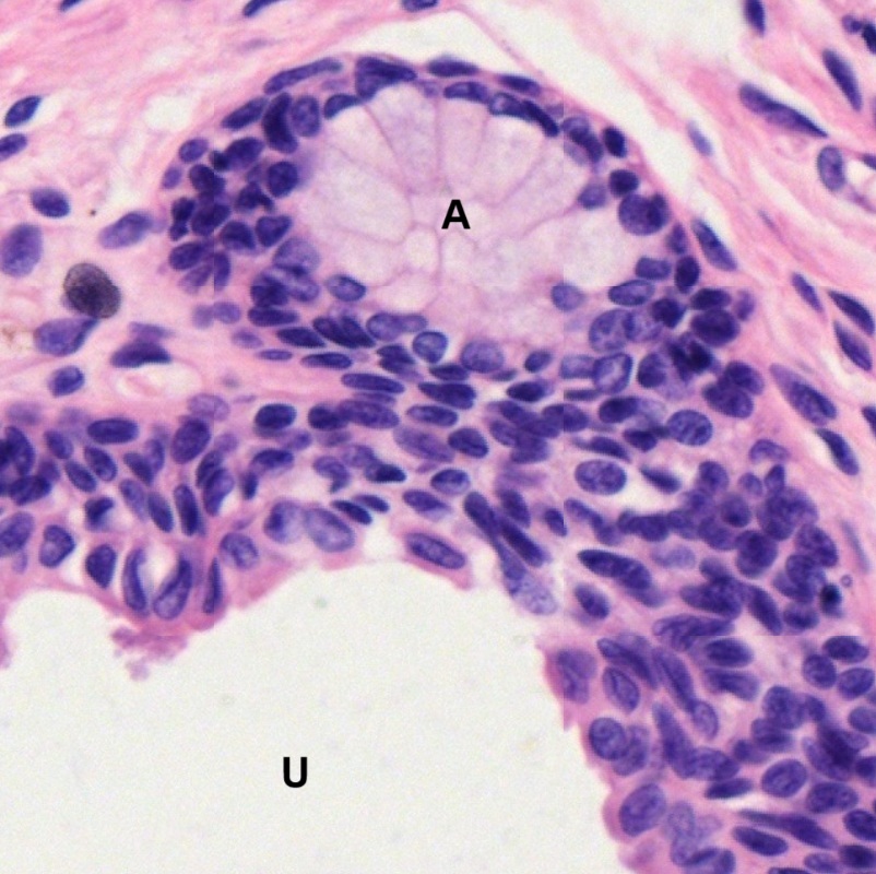
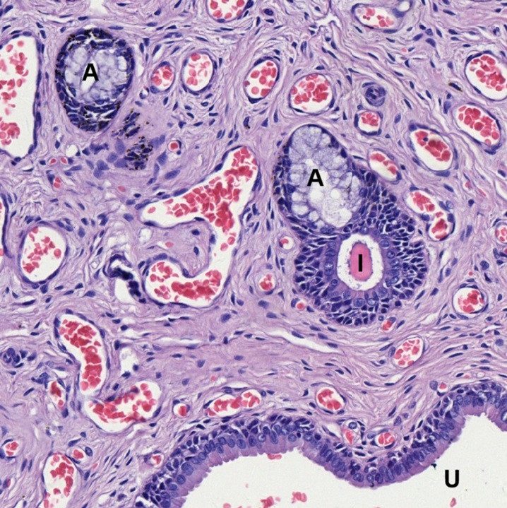
Simple acinar glands
They can be found in the epithelial lining of male urethra (Fig. 2-54). They form pockets (A), i.e., acini (pleural form of acinus) lining with secretory cells, which are pale stained compared to non-secretory cells lining the male urethra (U). Acini are not only formed from epithelial wall of male urethra, but also from the invagination (I) of urethral epithelium (Fig 2-55).
Simple branched acinar glands
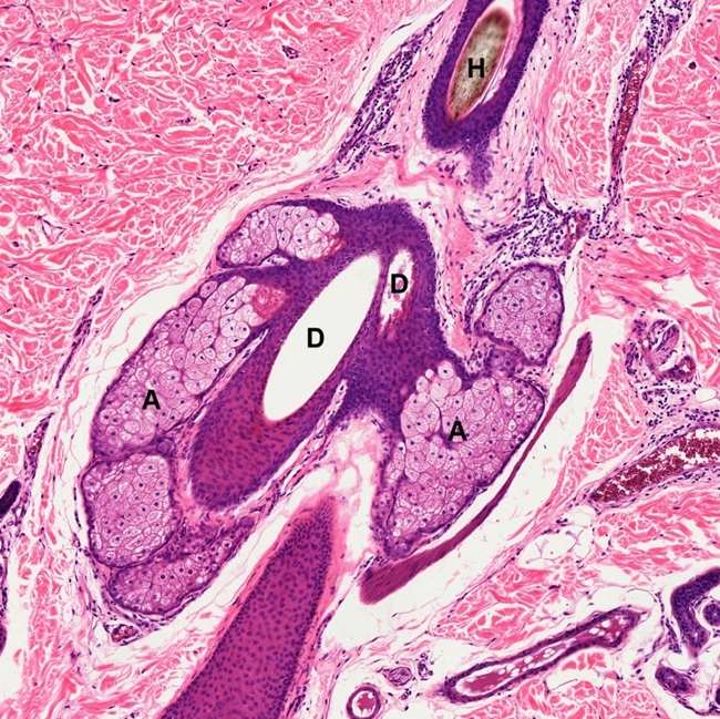
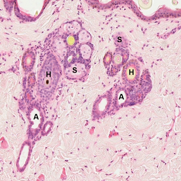
The typical examples of simple branched acinar glands are sebaceous glands (S) connected with hair follicles (H) of scalp (Fig. 2-56.) or hairy skin (Fig. 2-57). Each gland consists of several secretory acini (A) which empty into a single excretory duct (D). The excretory duct is formed by the stratified squamous epithelium surrounding the hair shaft (H). The stratified squamous epithelium is extending from skin surface. Other examples can be found in mammary glands.
There are three types of compound glands which have a branched duct system with tubular and/or acinar secretory portions:
Compound branched tubular glands
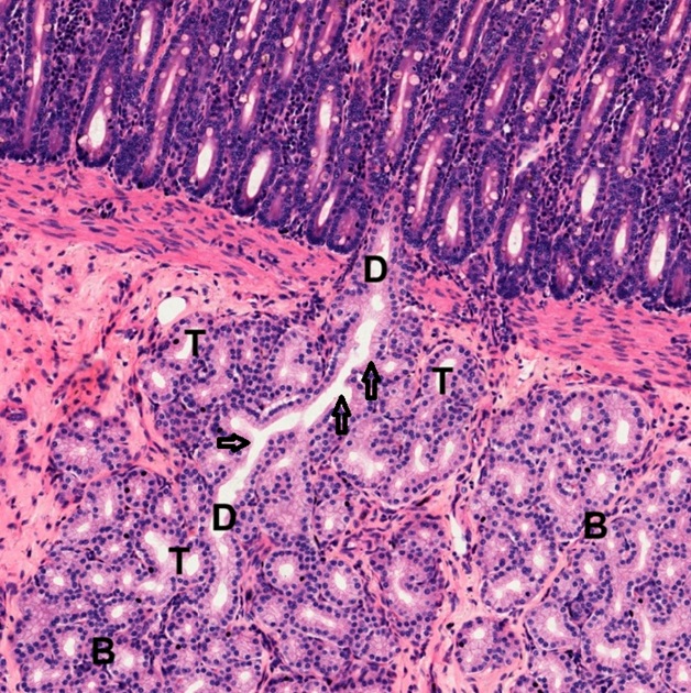
Compound branched tubular glands feature a branched duct system leading to multiple, tubular-shaped secretory units. One of the examples can be seen in Brunner’s glands (B) which are located underneath the duodenal villi (Fig. 2-58). It is shown that glandular acini (T) have their secretory ducts connected to the main duct (D).
Compound acinar glands
The typical compound acinar glands are found in pancreas (Fig. 2-59). It is composed of many secretory acini with branched duct (D).
Compound tubule-acinar glands
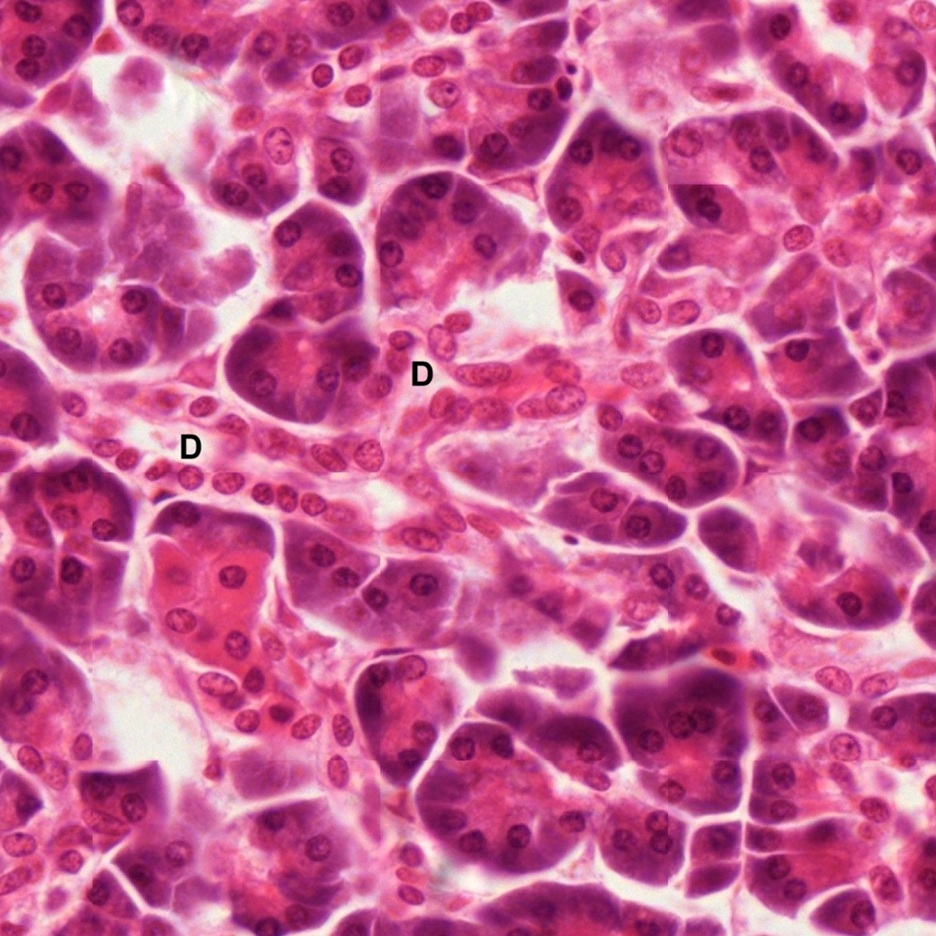
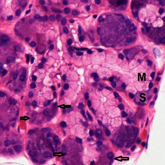
The submandibular gland (Fig. 2-60) is a mixed gland composed of mucous (M) and serous (S) secretory cells. It is found that tubular mucous cells are covered by acinar serous cells to form demilunes (arrow). The sublingual gland (Fig. 2-61) is also a mixed gland. Although it is composed of more mucous (M) and less serous (S) secretory cells compared to submandibular gland, it can be seen that tubular mucous cells are covered by acinar serous cells to form demilunes (arrow).
As described above, exocrine glands can be classified by the nature of secretion into mucous, serous, and mixed glands.
Mucous glands are mainly found in the submucosa of various organs, especially in the respiratory and digestive tracts, such as trachea (Fig. 2-62), small intestine (Fig. 2-63) and large intestine (Fig. 2-64). They secrete mucin, a glycoprotein forming mucus which serves to lubricate, protect, and trap foreign particles in the airways and digestive system.
Serous glands secrete a watery, protein-rich fluid called serous fluid, often containing enzymes like alpha-amylase to aid in digestion. These glands are composed of serous cells, which have round nuclei and eosinophilic granules in their cytoplasm. Examples of serous glands include the parotid gland (Fig. 2-65), lacrimal glands (Fig. 2-66), and the Von Ebner’s glands (E) on the tongue (Fig. 2-67), as well as sweat glands (Fig. 2-68) and the exocrine pancreas (Fig. 2-69).
Mixed glands are composed of both serous and mucous secretory units, producing a mixture of both serous and mucous secretions. They can be found in submandibular gland (Fig. 2-70), sublingual gland (Fig. 2-71), bronchial submucosal glands (Fig. 2-72), and minor salivary glands (M) in the labial (Fig. 2-73), buccal, and molar regions.
Exocrine glands can also be classified into three types, such as merocrine, apocrine, and holocrine, according to the modes of releasing secretory products.
Merocrine glands, also known as eccrine glands, are comprised of secretory cells that excrete products through exocytosis into the epithelial-walled ducts and then to lumen without causing any damage or loss in the secretory cell. They include salivary glands (Figs. 2-65, 2-70, 2-71), exocrine pancreas (Fig. 2-69), and eccrine sweat glands (Fig. 2-68) in most skin tissue except axillary skin.
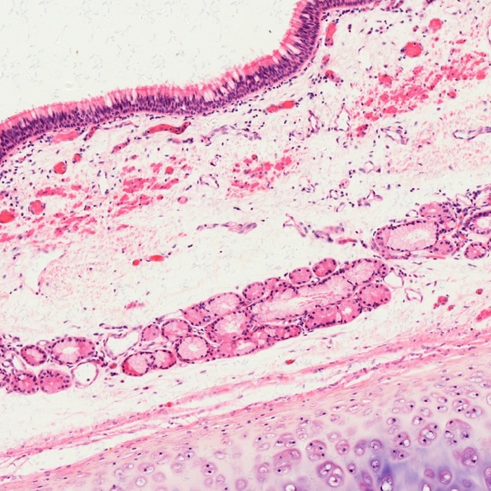
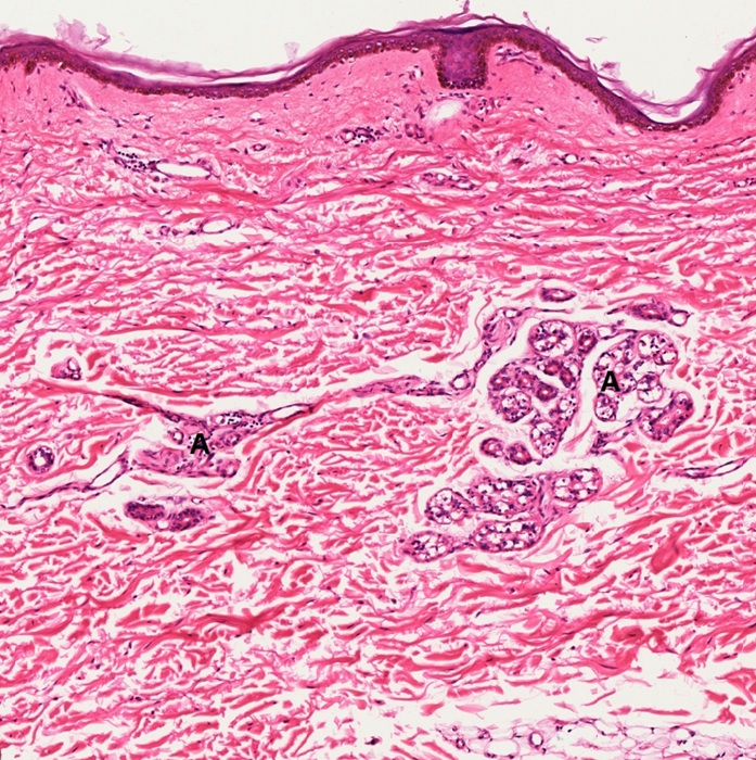
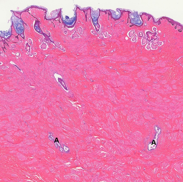
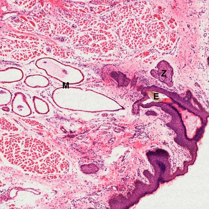
Apocrine glands, also known as apocrine sweat glands. They are sweat glands (A) in axillary skin (Fig. 2-74), areola and nipple (Fig. 2-75) of the breast, ear canal, eyelid (Fig. 2-76), wings of the nostril, perineal region (Fig. 2-77), and some parts of the external genitalia. In the eyelid (Fig. 2-76) there are two exocrine glands associated with the eyelash (E). Glands of Zeis (Z) are sebaceous glands and glands of Moll (M) are apocrine sweat glands. In perineal skin (Fig. 2-77), apocrine sweat glands (A) are found to be connected to the hair follicles (H) together with sebaceous glands (S). The difference between merocrine sweat gland and apocrine sweat gland will be discussed in the chapter of Integument.
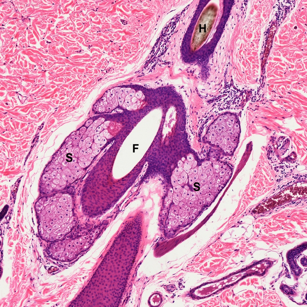
Holocrine glands are exocrine glands where the entire cell disintegrates to release its contents, with the cell itself becoming part of the secretion. Common examples of holocrine glands include the sebaceous glands (S) in the skin (Fig. 2-78) and Meibomian glands (M), also known as tarsal glands of the eyelids (Fig. 2-79). The sebaceous glands in the skin are seen to connect with the hair follicle (F) surrounding hair shaft (H) while the tarsal glands are modified sebaceous glands each consisting of numerous acini connected to a long central duct (D) underneath conjunctiva (C).
Endocrine Glands
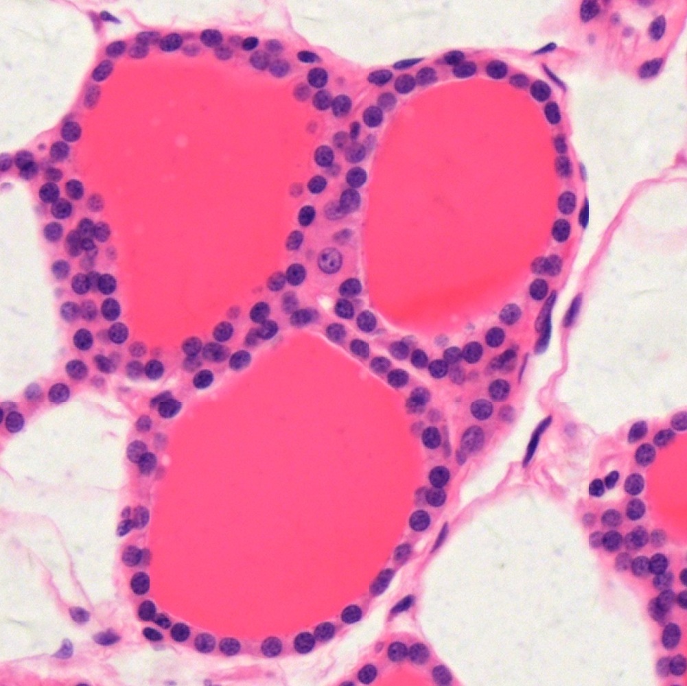
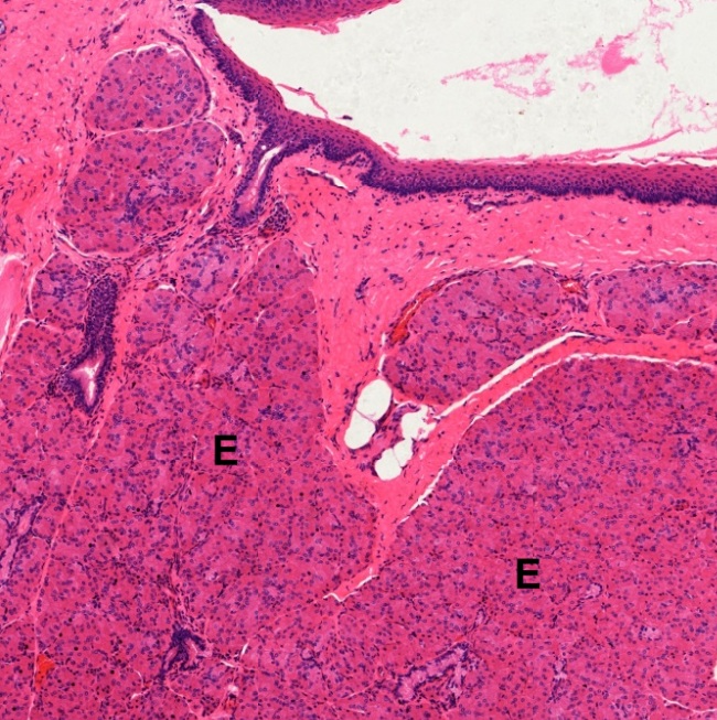
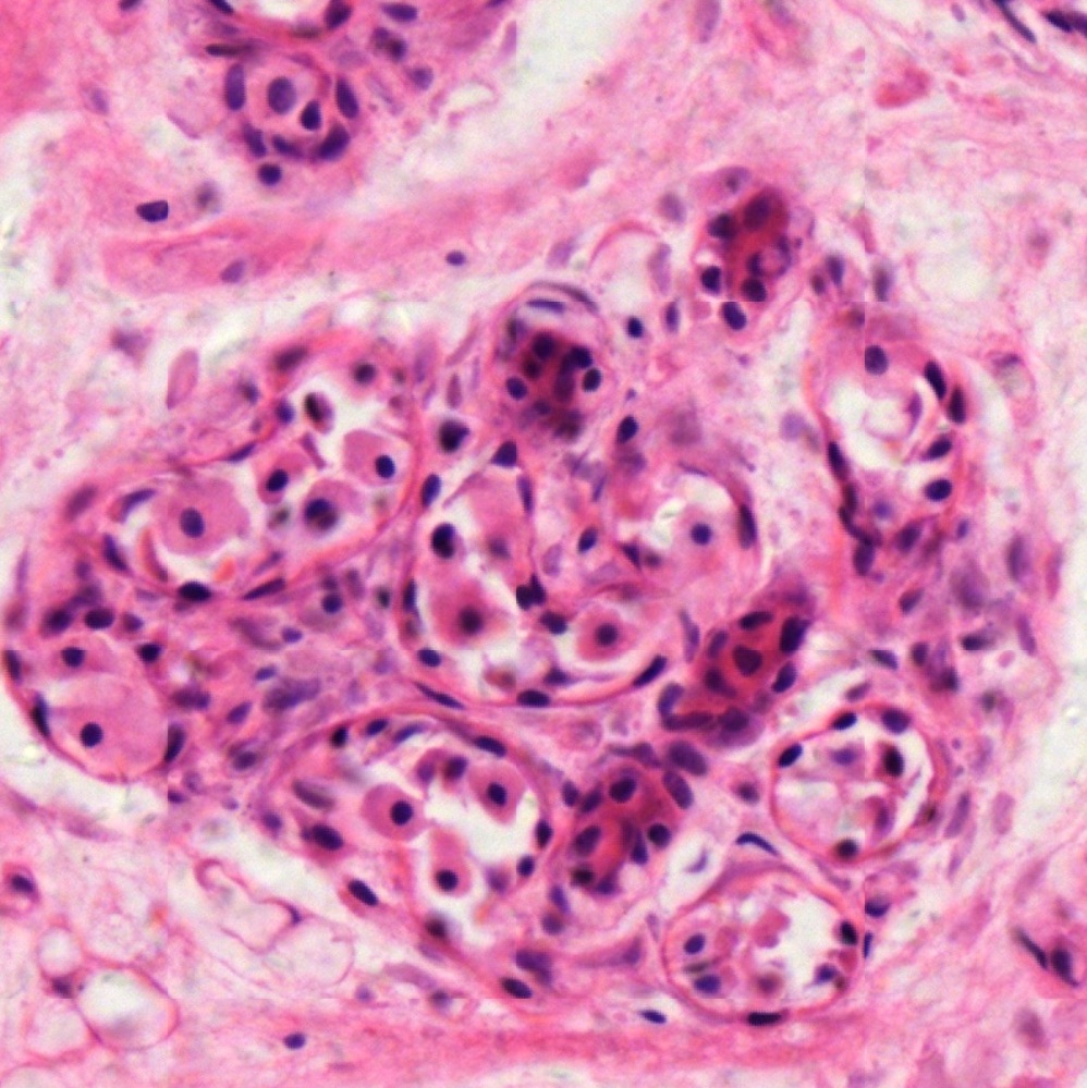
Endocrine glands are ductless glands. They secret products directly into nearby blood vessels through diffusion. For example, the thyroid gland (Figs. 2-80 and 2-81) is composed of follicles (F) of secretory cells. There is a rich capillary (C) network connected to output blood vessels (V) within interstitial spaces. Secretion of stored hormone involves reabsorption of hormone from the follicular lumen, release into the surrounding interstitial spaces, then diffusion into the capillary network embracing each follicle.
Detailed content about endocrine glands will be stated in Endocrine System.
NOTE:
1. Only those organelles visible under the light microscope are discussed here. It is suggested that to study all organelles visible under the electron microscope through your histology textbook and atlas.
2. All photos used for discussion are taken from DSMH and DSAH digital slides as follows:
H020021 Simple Squamous Epithelium, surface view, wm., mammal, SI. (Fig. 2-3)
H020020 Simple Squamous Epithelium, kidney sec. showing Bowman’s capsule, human, HE. (Figs. 2-6, 2-12)
H020030 Simple Cuboidal Epithelium, thyroid gland sec. showing follicles, human, HE.
H020040 Simple Columnar Epithelium, sec. of small intestine, human, HE. (Figs. 2-16, 2-48)
H020050 Stratified Columnar Epithelium, cs. of parotid duct, human, HE. (Fig. 2-43)
H020060 Psuedostratified Columnar Epithelium, sec. of trachea, human, HE. (Figs. 2-25, 2-49, 2-62)
H020070 Stratified Squamous Epithelium, sec. of esophagus, human, HE.
H020080 Transitional Epithelium, sec. of urinary bladder, human, HE.
H020090 Simple Ciliated Columnar Epithelium, cross section of oviduct, human, HE. (Fig. 2-20)
H020100 Glandular Epithelium, sec. of scalp showing sebaceous gland, human, HE.
H030020 Adipose Tissue, sec., human, HE. (Figs. 2-1, 2-2)
H050080 Spinal Cord, cs., human, HE. (Fig. 2-22)
H060040 Purkinje Fibers, sec. through interventricular wall, human, HE. (Fig. 2-5)
H080010 Thick Skin, sec. of sole skin, human, HE. (Figs. 2-32, 2-36)
H080011 Sweat Gland, sec. of palm skin, human, HE. (Figs. 2-28, 2-52, 2-68)
H080020 Thin Skin, sec. of facial skin, human, HE. (Fig. 2-33)
H080030 Scalp, sec., human, HE, showing hair follicles, sebaceous and sweat glands. (Figs. 2-56, 2-78)
H080050 Hairy Skin, sec. of body skin, human, HE. (Fig. 2-57)
H080060 Nipple, sec., human, HE. (Fig. 2-75)
H080070 Axillary Gland, axillary skin, sec. human, HE (Fig. 2-74)
H090010 Lip, cs. human, HE, showing junction of keratinized and non-keratinized epithelia. (Figs. 2-29, 2-73)
H090050 Circumvallate Papillae, sec. of tongue, human, HE, showing taste buds. (Fig. 2-67)
H090070 Parotid Gland, sec., human, HE. (Figs. 2-8, 2-37, 2-65)
H090080 Submandibular Gland, sec., human, HE. (Figs. 2-9, 2-60, 2-70)
H090090 Sublingual Gland, sec., human, HE. (Figs. 2-10, 2-61, 2-71)
H090100 Soft Palate, ls., human, HE. (Fig. 2-35)
H090110 Hard Palate, frontal sec. through the top wall of oral cavity, human, HE. (Fig. 2-34)
H090120 Upper Esophagus, cs. of upper 1/3 portion, human, HE. (Fig. 2-30)
H090160 Cardiac Stomach, sec., human, HE. (Fig. 2-31)
H090172 Stomach Body, sec., human, HE. (Fig. 2-17)
H090180 Pyloric Stomach, sec., human, HE. (Fig. 2-53)
H090190 Stomach-Duodenal Junction, sec., human, HE. (Fig. 2-58)
H090230 Small Intestine Composite, cs. of three intestine portions, human, HE. (Figs. 2-7, 2-50, 2-63)
H090260 Colon, cs., human, HE. (Fig. 2-64)
H090280 Anorectal Junction, ls., human, HE. (Figs. 2-51, 2-77)
H090290 Pancreas, sec., human, HE. (Figs. 2-11, 2-59, 2-69)
H090320 Gall Bladder, sec., human, HE. (Fig. 2-18)
H100030 Bronchus, cs., human, HE. (Figs. 2-24, 2-72)
H100040 Lung, cs., human, HE. (Fig. 2-4)
H110012 Kidney, ls., mammal, HE. (Fig. 2-44)
H110030 Ureter, cs., human, HE. (Fig. 2-45)
H110040 Urinary Bladder, sec., human, HE. (Fig. 2-46)
H110050 Dilated Urinary Bladder, sec., human, HE. (Fig. 2-47)
H110060 Male Urethra, cs. of prostatic urethra, human, HE. (Figs. 2-26, 2-40)
H110061 Male Urethra, cs. of penile urethra, human, HE. (Figs. 2-39, 2-54, 2-55)
H110100 Spermatic Cord, cs., human, HE. (Fig. 2-42)
H110120 Epididymis, cs., human, HE. (Fig. 2-27)
H110160 Young Ovary, sec., human, HE. (Fig. 2-13)
H110190 Fimbria, ls., human, HE. (Fig. 2-21)
H110230 Uterus of Secretary Phase, sec., human, HE. (Fig. 2-19)
H110280 Mammary Gland of Inactive Stage, cs., human, HE. (Fig. 2-38)
H120030 Thyroid Gland, section, human, HE. (Fig. 2-81)
H120040 Parathyroid Gland, sec., human, HE. (Fig. 2-15, 2-80)
H130010 Conjunctiva, sec., human, HE. (Figs. 2-41, 2-76, 2-79)
H130020 Lacrimal Gland, sec., human, HE. (Fig. 2-66)
H130050 Cornea, sec. dog, HE. (Fig. 2-14)
H130070 Cochlea, sec., guinea pig, HE. (Fig. 2-23)
3. Staining methods and results:
HE = hematoxylin and eosin, it is used to stain cell nuclei blue and cytoplasm pink or red. Hematoxylin may also stain ribosomes and rough endoplasmic reticulum blue.
SI = silver impregnation, it is used here to outline mesothelial cells in black by depositing silver atoms along the borders of the cells.

















































































