There are 241 digital slides (219 GB), categorized in 13 chapters.
Image Data of digital slides with DSMH Guide and DS Viewer to observe digital slides are securely loaded in a USB for just plug and play. Installation is not required.
There is no need for cloud support. It can be always run without Wi-Fi.
There is a three-year warranty on the hardware. An unlimited warranty is provided on the data and software.
The DSMH Guide will teach you how to find desired structures on each digital slide at different magnifications.
The DS Viewer enables you to view, zoom in and out, navigate within thumbnails, delineate regions of interest, measure structures on screen, annotate the structure, and capture to save images for further study.
Once the USB is plugged into your PC or laptop, a “DSMH” App is shown in the virtual CD Drive.
Click the “DSMH” App, a “DSMH Guide” file is opened.
After viewing through the “DSMH Guide”, select the chapter.
For example, here the “Chapter 2 Epithelial Tissue” is selected by clicking, then, the view will be moved to show the portion of the “Chapter 2 Epithelial Tissue”.
After viewing through all digital slides of the “Chapter 2 Epithelial Tissue”, select the slide to be observed by clicking the slide number.
For example, here the“H020020” is selected. The DS Viewer will be initiated.
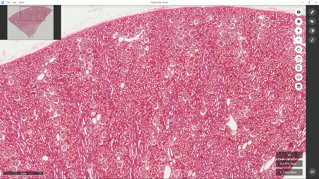
The whole section image of H020020 will be brought into the window of the DS Viewer.
This is a digitized image of a sectioned human kidney showing renal cortex at the bottom and renal medulla at the top.
By clicking the “Rotate Toward Left” or “Rotate Toward Right” command at the right bar of the software, the image can be rotated to show renal cortex at the top and renal medulla at the bottom.
By turning the mouse scroll wheel forward or clicking the “+” command at the right bar of the software, the image can be enlarged.
In contrast, turning the mouse scroll wheel backward or clicking the “-” command at the right bar of the software will shrink the image. Here the enlarged image is shown:
A small window at the top left corner shows the location of the enlarged image in the entire section.
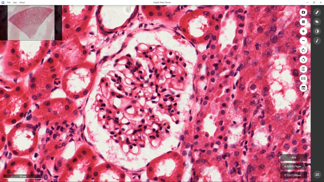
Here, for example, you want to observe the detailed structure of a glomerulus in this section. You may lock on the target and continue to enlarge the image in the same way as described above.
At this highest magnification, indicated by “40X” (objective lens) shown at the bottom right corner, a clear image of glomerulus appears at the center.
You may take a shot at it by clicking the “snapshot” command at the top right corner, then select the location where you want to save after giving a file name.
The default format of the photo is “png”, but you may change it as you desire.
At the end of observing this digital slide, if you want to switch to the other digital slide, just close the DS Viewer by clicking “X” at the top right corner of the window.
The view will be returned to the “Chapter 2 Epithelial Tissue” of “DSMH Guide”. Color change of “H020020” indicates that this slide has just been observed.
At this moment, you may continue to select the other slide for more observation.
If you decide not to continue using the DSMH, just click the “X” at the top right corner of the window.
Detailed content of DSMH Catalogue can be downloaded for your needs.
For copy right protection, the original database is not allowed to be duplicated.
It is your risk of illegal violation to break the DSMH for obtaining the original database.










