There are 654 digital slides (750.6GB), categorized 17 chapters.
Image Data of digital slides with DSMP Guide and DS Viewer to observe digital slides are securely loaded in a USB for just plug and play. Installation is not required.
There is no need for cloud support. It can be always run without Wi-Fi.
The DSMP Guide will provide you an access to find each digital slide.
The DS Viewer will enable you to view, zoom in and out, navigate within thumbnails, delineate regions of interest, measure structures on screen, annotate the structure, and capture to save images for further study.
Once the USB is plugged into your PC or laptop, a “DSMP” App is shown in the virtual CD Drive.
Click the “DSMP ” App, a “DSMP Guide” file is opened.
After viewing through the “DSMP Guide”, select the chapter.
For example, here the “Chapter 4 Tumors” is selected by clicking, then, the view will be moved to show the portion of the “Chapter 4 Tumors”.
After viewing through all digital slides of the “Chapter 4 Tumors”, select the slide to be observed by clicking the slide number.
For example, here the“PA02003” is selected. The DS Viewer will be initiated.
The whole section image of PA02003 will be brought into the window of the DS Viewer.
By turning the mouse scroll wheel forward or clicking the “+” command at the right bar of the software, the image can be enlarged.
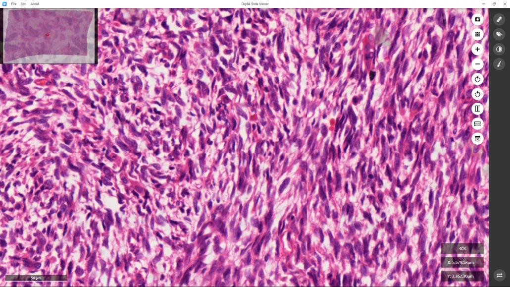
In contrast, turning the mouse scroll wheel backward or clicking the “-” command at the right bar of the software will shrink the image. Here the enlarged image is shown:
A small window at the top left corner shows the location of the enlarged image in the entire section.At this highest magnification, indicated by “40X” (objective lens) shown at the bottom right corner.
You may take a shot at it by clicking the “snapshot” command at the top right corner, then select the location where you want to save after giving a file name.
The default format of the photo is “png”, but you may change it as you desire.
At the end of observing this digital slide, if you want to switch to the other digital slide, just close the DS Viewer by clicking “X” at the top right corner of the window.
The view will be returned to the “Chapter 4 Tumors” of “DSMP Guide”. Color change of “H130030” indicates that this slide has just been observed.
At this moment, you may continue to select the other slide for more observation.
If you decide not to continue using the DSMP, just click the “X” at the top right corner of the window.
Detailed content of DSMP Catalogue can be downloaded for your needs.
For copy right protection, the original database is not allowed to be duplicated.
It is your risk of illegal violation to break the DSMP for obtaining the original database.







